AI versnelt en verbetert polschirurgie
Quizvraag: Wat hebben avontuurlijke jongens met oudere dames gemeen? Het antwoord: polsbreuken. De ene groep omwille van gewaagder gedrag, de andere door poreuze botstructuren. Maar sowieso zijn polsbreuken de meest voorkomende van alle breuken. En uit studies blijkt dat bij complexere gevallen 1 op 4 patiënten binnen het jaar terugkeert voor een tweede ingreep. Specifix, een spin-off van Universiteit Antwerpen, wil dat patroon doorbreken met een AI-gestuurde preoperatieve workflow. Die moet vóór de operatie al duidelijk maken welke plaat en schroeven het best passen bij de patiënt en de breuk. Ondersteund met een VLAIO ontwikkelingsproject en een haalbaarheidsstudie moet hun technologie de polschirurgie wereldwijd verbeteren en versnellen.

Van ‘in het moment beslissen’ naar vooraf doeltreffend plannen
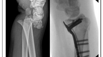
Alejandra Ortega, CEO van Specifix: “In de huidige, ‘klassieke’ polschirurgie gebeurt veel finetuning tijdens de operatie zelf: de chirurg analyseert, selecteert, positioneert de fixatieplaat, controleert onder doorlichting, corrigeert en controleert opnieuw vanuit zijn expertise- en ervaring. Het is erg tijdrovend en gaat met heel wat extra (re)sterilisatie gepaard, wanneer een gekozen plaat toch niet de meest geschikte blijkt. SPECIFIX verschuift dat soort van ad hoc beslissingen naar de preoperatieve planning. Onze AI-tool analyseert de breuk en maakt een onderbouwde voorselectie van het implantaat en de juiste schroeven. Als de chirurg dat wenst kunnen we meteen ook een geprinte boorgeleidingsmal bezorgen.”
Onze pilots tonen aan dat een vlottere voorbereiding resulteert in 10 tot 20 minuten tijdswinst per ingreep.
Alejandra: “Onze oplossing maakt het leven van de chirurg makkelijker door het meest geschikte implantaat voor de meest optimale fixatie te suggereren, gebaseerd op de patiëntspecifieke anatomie en het fractuurpatroon. Dat biedt voor alle betrokkenen alleen maar voordelen. Voor patiënten betekent het een snellere en minder pijnlijke revalidatie. Voor chirurgen betekent het efficiëntere en tegelijkertijd kortere operaties. Onze pilots tonen aan dat een vlottere voorbereiding kan resulteren in 10 tot 20 minuten tijdswinst per ingreep. Ziekenhuizen vinden het interessant als operaties minder tijd in beslag nemen en minder operatief afval opleveren. En laten we de betere reputaties van artsen en ziekenhuizen ook maar vermelden, want tevreden patiënten delen graag hun positieve ervaringen.”

Van scan naar plan
Ondersteund door een VLAIO ontwikkelingsproject bouwt Specifix de end-to-end workflow in verschillende stappen uit: de automatische segmentatie van de botfragmenten, het herpositioneren van de botfragmenten naar de correcte anatomische positie, en vertaling naar de best passende vorm en positie van de plaat en schroeven die in de operatiezaal reproduceerbaar is (optioneel via een 3D-geprinte gids). Alejandra: “De AI-rekentijd bedraagt enkele minuten en resulteert in meetbare tijd- en kwaliteitswinst in het operatiekwartier.” Parallel loopt er ook een VLAIO haalbaarheidsstudie die de Specifix AI-tool betrouwbaarder én makkelijker inzetbaar moet maken. “We willen de klinische intuïtie van de ervaren chirurg in ons systeem integreren met een ‘sanity check’”, legt Alejandra uit.
“Met statistische vormmodellen vlaggen we anatomisch onwaarschijnlijke AI-segmentaties, zodat een gebruiker (‘the human in the loop’) gericht kan bijsturen. Tegelijkertijd onderzoeken we of ons systeem ook met het standaard CT-protocol voor polsbreuken kan werken. Eerst werkten we met een scan van beide volledige onderarmen om de niet gebroken pols als spiegelbeeld te gebruiken voor de gebroken pols. Intussen kunnen we werken met een CT-scan van elleboog tot vingertop. Alleen is dat een erg ruime opname die we graag willen reduceren naar het gebruikelijke formaat van de CT-scan voor polsfracturen. Dat verlaagt de stralingsdosis en vergemakkelijkt de implementatie door chirurgen en ziekenhuizen. Slagen we daarin, dan wordt onze pipeline meteen robuuster en kunnen we ons model ook sneller en makkelijker schalen naar andere gewrichten.”

Gezondheidsecosysteem
Beide dossiers werden begeleid door VLAIO bedrijfsadviseur Kristine Debruyne. Alejandra: “Zij is voor ons een kritisch klankbord die met haar opmerkingen en bedenkingen onze projecten sterk verbeterd heeft. Ze werkt voor ons als een hefboom die de kwaliteit van onze plannen verhoogt: pas wanneer onze bedrijfsadviseur tevreden is, dienen we ons dossier in.”
Niet alleen de bedrijfsadviseurs en VLAIO krijgen van Alejandra een pluim. Het hele Antwerpse gezondheidsecosysteem waar je als innoverende pionier in terechtkomt krijgt complimenten toegewuifd: “Weten dat je er niet alleen voor staat, is van onschatbare waarde. De steun die we tot nu toe ontvingen van de Universiteit Antwerpen, het imec.istart acceleratorprogramma en de Antwerp Management School was uitzonderlijk. En met AZ Monica en UZA waar we onze pilots uitproberen, beschikken we over twee ziekenhuizen die internationaal bekend staan om hun trauma en orthopedische afdelingen.
Van pols naar schouder naar enkel en knie
Voor de schouder ligt de uitdaging heel anders qua anatomie en bewegingspatroon. En dat wil Specifix bewust als volgende uitdaging aanpakken. Alejandra: “Met een innovatiemandaat willen we een postdoc aanwerven om de beeldvorming rond de schouder in kaart te brengen. Eens we de complexiteit van pols en schouder onder de knie hebben, kunnen andere gewrichten zoals enkel en knie alleen maar vlotter aangepakt worden.”